Una nueva prótesis ocular ha logrado devolver la visión a personas con ceguera irreversible a consecuencia de una atrofia geográfica, la última etapa de una forma de degeneración macular asociada a la edad (DMAE), que afecta, aproximadamente, a 5 millones de personas en el mundo.
Un equipo internacional de científicos europeos y estadounidenses llevaba dos décadas trabajando en el desarrollo de este dispositivo, que han probado con éxito en un ensayo con 38 pacientes de 17 centros hospitalarios de 5 países. Sus resultados aparecen recogidos este lunes en la revista New England Journal of Medicine.
Los 32 pacientes, de más de 60 años, padecían la citada atrofia geográfica por degeneración macular asociada a la edad, una dolencia hasta ahora incurable, que va deteriorando lentamente la visión. En el momento del ensayo contaban solo con una visión periférica limitada.
Un año después de contar con el dispositivo, llamado Prima, 27 de los 32 participantes (el 84%) recuperaron la capacidad de leer letras, números y palabras a través del ojo que había perdido la vista.
Un microchip fotovoltaico inalámbrico
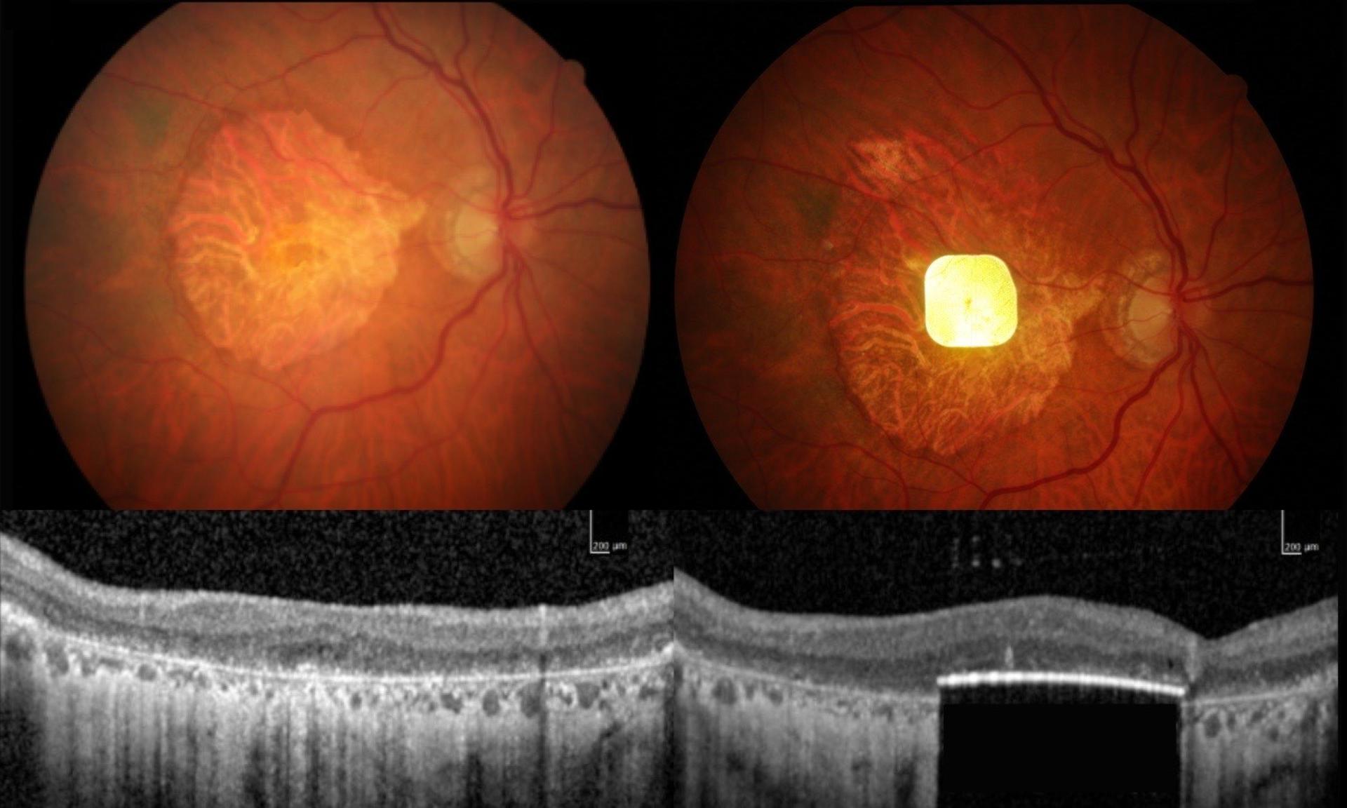
Prima es un dispositivo compuesto por dos partes, un microchip inalámbrico que se implanta en la parte posterior del ojo y unas gafas de realidad aumentada.
El microchip es ultrafino, mide 2 por 2 milímetros y tiene forma de tarjeta SIM. Se coloca en el ojo mediante un procedimiento llamado vitrectomía, mediante el cual se extrae el gel vítreo del ojo y se inserta el chip bajo el centro de la retina del paciente.
Una pequeña cámara, instalada en las gafas de realidad aumentada, captura imágenes del exterior y las proyecta en tiempo real, mediante luz infrarroja, en el microchip instalado en el ojo.
El chip es sensible a esa luz infrarroja proyectada desde las gafas, y cumple las funciones de los fotorreceptores naturales que han sido dañados por la enfermedad.
El dispositivo es fotovoltaico y solo necesita luz para generar estímulos eléctricos, por lo que no necesita alimentación externa como otras prótesis oculares previas, que requerían algún tipo de cable.
El diseño permite a los pacientes utilizar su visión periférica natural junto con la visión central, lo que les ayuda a orientarse y desplazarse.
“El hecho de que una persona vea simultáneamente con la visión protésica y la periférica es importante porque pueden fusionarlas y aprovechar al máximo la visión”, señala uno de los autores, Daniel Palanker, investigador de oftalmología de la Universidad de Stanford.
Fases de recuperación de la visión
Los pacientes comenzaron a usar las entre cuatro y cinco semanas después de la implantación del microchip en el ojo. Aunque algunos pudieron distinguir los patrones de inmediato, la agudeza visual de la mayoría mejoró tras meses de entrenamiento, algo similar a otros implantes desarrollados para recuperar la audición.
De los 32 pacientes que completaron el ensayo de un año, 27 lograron leer y 26 mostraron una mejora clínicamente muy significativa en la agudeza visual, definida como la capacidad de leer al menos dos líneas adicionales en una tabla optométrica estándar.
Los participantes lograron alcanzar una agudeza visual de hasta 20/42, mejorando en promedio 5 líneas y, en algunos casos, hasta 12 líneas.
La mayoría de los pacientes usa la prótesis en su vida cotidiana para leer libros, etiquetas de alimentos o señales callejeras.
Las gafas permiten ajustar el contraste, el brillo y hacer zoom hasta 12 veces. Según los autores, dos tercios de los participantes expresaron una satisfacción media-alta con el dispositivo.
Diecinueve de los 32 experimentaron efectos secundarios leves, como hipertensión ocular o desgarros en la retina periférica, pero las complicaciones se resolvieron en un máximo de dos meses y no pusieron en riesgo la vida de los pacientes.
Próximos pasos
De momento, Prima solo ofrece visión en blanco y negro, sin tonos intermedios, por lo que los investigadores están desarrollando un software para distinguir toda la gama de grises.
“El primer deseo de los participantes es leer, pero el siguiente es el reconocimiento facial, y para ello necesitamos un software que reconozca los tonos grises”, apunta Palanker.
El equipo trabaja también en chips con mayor resolución y en gafas de diseño más estético. Otro objetivo es probar el dispositivo para otros tipos de ceguera causados por la pérdida de fotorreceptores.
Este exitoso ensayo clínico con el dispositivo Prima representa la culminación de décadas de desarrollo e innovación médica.
- Copernicus adelanta que 2025 será el segundo o tercer año más cálido jamás registrado - noviembre 7, 2025
- La NASA lanzará misión para estudiar la atmósfera y el campo magnético de Marte - noviembre 7, 2025
- La sonda china Tianwen-1 observa el cometa interestelar 3I/Atlas desde la órbita de Marte - noviembre 6, 2025




