La exposición prenatal a la contaminación del aire se relaciona con una maduración más lenta del cerebro durante el primer mes de vida. Así lo ha revelado el primer estudio que mide con resonancia magnética la mielinización cerebral de los recién nacidos.
Un estudio publicado en la revista Environment International concluye que la contaminación atmosférica durante el embarazo se asocia con una maduración cerebral más lenta en los recién nacidos.
La mielinización es un proceso clave en la maduración del cerebro, en que la mielina recubre las conexiones neuronales
La mielinización es un proceso clave en la maduración del cerebro, en que la mielina recubre las conexiones neuronales y las hace eficientes para la transmisión de información. Los recién nacidos de madres expuestas a niveles más altos de partículas finas en suspensión durante el embarazo muestran una mielinización más lenta en esta etapa tan precoz de la vida.
Tanto una ralentización como una aceleración excesiva de la maduración cerebral pueden ser perjudiciales para el niño o niña. Ahora queda por determinar si el efecto observado en este estudio tendrá consecuencias negativas en las capacidades de los pequeños.
Partículas producto de la combustión
La contaminación analizada incluye partículas muy pequeñas, unas treinta veces más delgadas que un cabello humano, y que están formadas por elementos nocivos derivados del proceso de combustión y compuestos orgánicos tóxicos, pero también por elementos esenciales para el desarrollo cerebral, como el hierro, el cobre o el zinc.
Por ello, todavía hay que investigar cómo afecta cada uno de estos componentes al desarrollo del cerebro de los recién nacidos.
En este sentido, según explica Gerard Martínez-Vilavella, investigador de la Unidad de Resonancia Magnética del Servicio de Radiología del Hospital del Mar, integrado en la red dibi, y del Instituto de Investigación del Hospital del Mar, “en el estudio vemos que el proceso de mielinización, un indicador de maduración cerebral que avanza progresivamente con el tiempo, presenta un ritmo más lento en los recién nacidos más expuestos a PM2.5 durante el embarazo”.
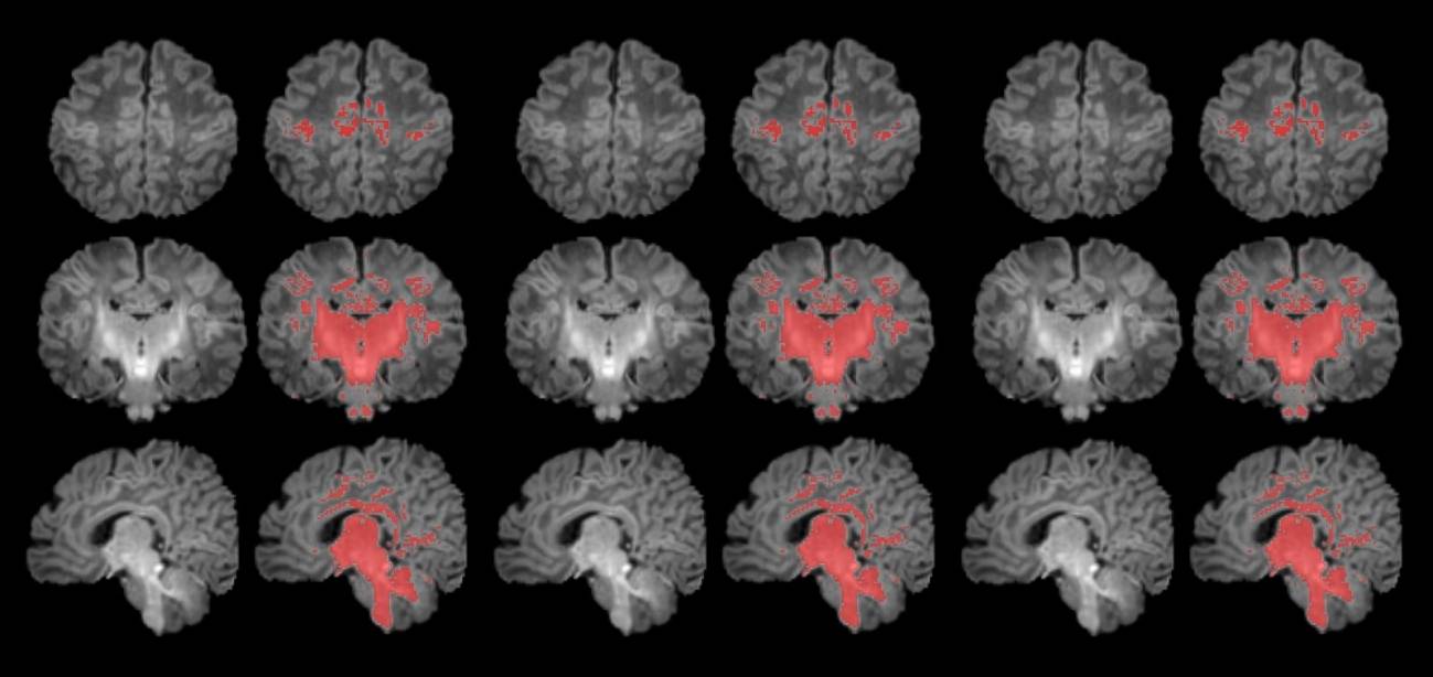
Resonancia magnética en el primer mes de vida
Para llevar a cabo el estudio se reclutó a mujeres embarazadas en seguimiento en el Hospital Clínic Barcelona, el Hospital de Sant Pau y el Hospital Sant Joan de Déu. Se monitorizaron los niveles de contaminantes atmosféricos a los cuales estaban expuestos durante la gestación y, después del parto, se seleccionó a 132 recién nacidos. A estos se les realizó una resonancia magnética antes de cumplir el primer mes de vida para observar el grado de maduración cerebral según sus niveles de mielinización.
“La contaminación atmosférica, concretamente las PM2.5, se asocia con una alteración en el proceso de mielinización, un mecanismo esencial de maduración cerebral. Por ello hay que continuar controlando la contaminación y estudiar cómo esta ralentización puede influir en el desarrollo posterior del cerebro de los niños y niñas”, expresa Martínez-Vilavella.
El trabajo también indica que este efecto responde a la combinación de los diferentes elementos que forman las PM2.5, sin que se pueda identificar un único elemento como responsable.
Las consecuencias, por determinar
Jesús Pujol, jefe de la Unidad de Resonancia Magnética del Servicio de Radiología del Hospital del Mar, añade que “en la primera etapa de la vida, los cambios en el cerebro son grandes y complejos. Tanto la ralentización excesiva como la aceleración de la maduración cerebral pueden ser perjudiciales para el niño o la niña”.
Por su parte, el investigador de ISGlobal Jordi Sunyer, sostiene que “los hallazgos en estos recién nacidos, nacidos en Barcelona después de la primera fase de la zona de bajas emisiones nos alertan que no podemos desfallecer en los planes de descontaminar las ciudades. Hay que hacer más pasos adelante para lograr los nuevos criterios de calidad del aire”.
- Los lagos amazónicos llegan a los 41º C - noviembre 7, 2025
- El cáncer colorrectal se protege de la inmunoterapia con una doble barrera - noviembre 7, 2025
- El mayor mapa del cerebro en desarrollo revela las fases en las que se originan los trastornos neurológicos - noviembre 6, 2025




