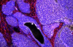
Cáncer de mama en ratón, con células tumorales en color blanco. / Raúl Jiménez (CSIC). En Sinc.
Home »
Nanoparticulas-para-el-tratamiento-y-seguimiento-de-la-inmunoterapia-contra-el-cancer

Todas las noticias sobre Ciencia, Publicadas, Información, novedades y última hora sobre Ciencia.

Noticias sobre tecnología. Actualidad, análisis y vídeos sobre celulares, smartphones, TVs, PCs, vehículos, inteligencia artificial y más.

Las últimas noticias sobre cultura. Literatura y libros, cine, música, teatro, danza, arte, arquitectura, además de Tentaciones y los blog.

